안녕하세요. 드림 치과 원장의 박·홍정욱입니다. 라미네이트는 오래 전부터 잘못 알려지거나 오해가 많은 치료의 1개입니다. 특히 2010년대 초 몇가지의 치과에서 너무 무리하게 라미네이트 치료를 하면서 마치 이 치료가 교정인 것처럼 “급속 교정”이란 표현으로 설명을 많이 했다면 치료에 대한 오해가 많이 쌓인 것 같아요. 라미네이트가 갖고 있는 최대의 오명은 이를 빼앗아 이가 시린고 아프고 결국 신경 치료까지 하게 되는 것입니다. 이 부분은 올 세라믹 크라운과 라미네이트이라는 치료가 혼돈하고 이런 오명이 생긴 것 같습니다.특히 몇몇 치과에서 올 세라믹 크라운, 즉 치아 삭제를 많이 하는 방식의 치아 성형을 하면서도 환자에게는 이를 거의 삭제하지 않는 라미네이트 방식이라고 잘못 설명한 것이 크지 않을까 합니다. 그래서 라미네이트하자 부작용을 생각할수록 라미네이트는 논란 많은 치료의 하나입니다. 그러나 제대로 된 정밀 진단과 치료 과정을 거치면 라미네이틀수록 부작용이 적은 치료도 많지 않습니다. 이 방법으로 치료할 수 없음을 들면 문제가 발생합니다. 라미네이트의 부작용은 치료 후 시린 잇몸의 염증, 파절나 누락이 있습니다.대부분의 부작용이 치아 삭제에서 시작되기 때문에 라미네이트의 부작용을 최소화하는 방법은 치아의 삭제를 최소화함으로써 그 중에서도 무농약 라미네이트가 가장 부작용이 적은 치료라고 할 수 있습니다.

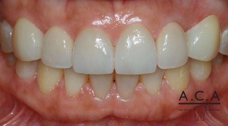
앞에서 보면 치열도 좋고 치아 끝이 조금 갈라지기는 했지만 치아의 모양이나 색깔에도 전혀 문제가 없습니다.
![]()
그런데 이렇게 옆에서 보면 치아가 상당히 심한 옥니임을 알 수 있습니다. 치아가 너무 안쪽으로 기울어져 있어요. 이렇게 되면 말을 하거나 웃을 때 치아가 잘 보이지 않게 되어 버립니다. 이와 같이 치열이 좋고 치아가 작아 옥니의 경우 무용제 라미네이트가 가능합니다. 여기서 다시 한 번 강조하고 싶은 것은 모든 케이스가 무삭제 라미네이트 될 수 있는 것은 아닙니다. 보통 내원하는 환자 중 10% 내외에서 가능합니다.
목표는 이렇게 심한 옥니를 밖으로 내보내 정상적인 치열을 만드는 것입니다.이렇게 밖으로 나가야 하기 때문에 무삭제로도 라미네이트가 가능합니다.왁스를 사용해서 어떤 결과가 나올지 미리 만들어볼게요. 무삭제 라미네이트로 왁스를 사용한 정밀 진단은 매우 중요한 과정입니다.이렇게 왁스로 된 진단 모델을 이용해서 레진을 이용해서 어떤 형태로 치료가 가능한지 미리 만들 수 있기 때문에 반드시 왁스업 정밀 진단 과정을 거쳐야 합니다. 이러한 임시치아를 이용하여 환자와 치료 결과에 대해 사전에 상담합니다.라미네이트를 붙이기 전에 치아에 올려서 모양을 볼 건데요. 보시다시피 옥니가 완전히 해결되어 있는 것을 알 수 있습니다. 치아가 많이 나오고 치아의 모양과 색깔도 좋아집니다.라미네이트를 붙이기 전에 치아에 올려서 모양을 볼 건데요. 보시다시피 옥니가 완전히 해결되어 있는 것을 알 수 있습니다. 치아가 많이 나오고 치아의 모양과 색깔도 좋아집니다.어느 각도에서 봐도 라미네이트를 했는지 아니면 자연치아인지 구분할 수 없을 정도로 자연스럽게 치료가 끝났고 라미네이트 부작용 없이 자연스럽고 아주 아름다운 치아가 되었습니다.옆에서 보면 이렇게 옥니가 완전히 개선되었음을 확인할 수 있습니다.자연치아의 투명감이나 모양은 유지하면서 치아는 하나도 삭제하지 않고 옥니를 개선하게 되었습니다. Since 2006, 드림치과드림치과의원 서울특별시 강남구 논현로 841 제이비미소빌딩 2층드림치과의원 서울특별시 강남구 논현로 841 제이비미소빌딩 2층드림치과의원 서울특별시 강남구 논현로 841 제이비미소빌딩 2층